X
Home
Über uns
Für Behandler
Für Patienten
Galerie
NEWS
Kontakt
Impressum
Datenschutzerklärung
Rufen Sie uns an
+49 (0) 2824 999 20 99
Home
Über uns
Für Behandler
Für Patienten
Galerie
NEWS
Kontakt
Impressum
Datenschutzerklärung
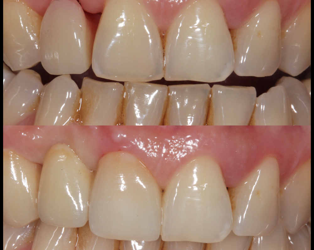
Galerie
Ein Auszug aus
unseren Arbeiten